For over 50 years, we've been redefining what dental care means in our community, evolving from a cherished family practice into a state-of-the-art dental destination while maintaining the warmth and personal touch that started it all.
Step into our welcoming office, where a fireplace and friendly smiles create the perfect start to elevated dental visits. Our concierge approach combines personalized consultations, advanced technology, and a tour of our in-house lab, all provided by a multi-specialty team dedicated to delivering world-class care in San Jose.

Explore our state-of-the-art office designed for your comfort.






Discover a range of services, from advanced cosmetic treatments and oral surgery to periodontal care.

We've invested in top of the line technology that's comfortable, efficient, and convenient.

Warm wood panels, a crackling fireplace, and a personalized comfort menu make dental visits feel like self-care days.

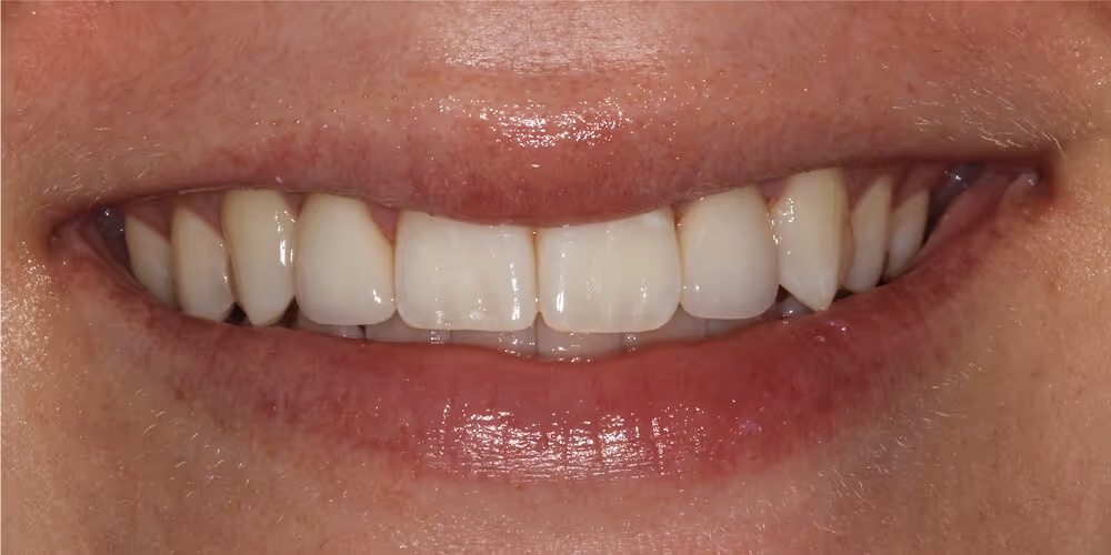
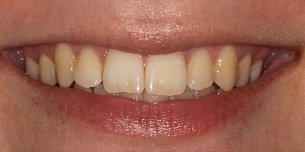
Ready for a glow-up? A confident smile boosts your every interaction. We offer comprehensive cosmetic treatments designed to change your life.
Your smile is your signature. We craft customized veneers to build your dream smile from the ground up.
You live a busy life and don't need another dental appointment on the calendar. Restore your tooth in one day with same-day crowns. No temporaries, no fuss.
Find a permanent solution to missing teeth. Dental implants are the gold standard in tooth replacement, restoring the function and aesthetics of your smile.
Smile, laugh, and feel confident in photos. A smile transformation is worth the investment because it makes you feel like your best self.
Explore more smile transformations by clicking or tapping below.

